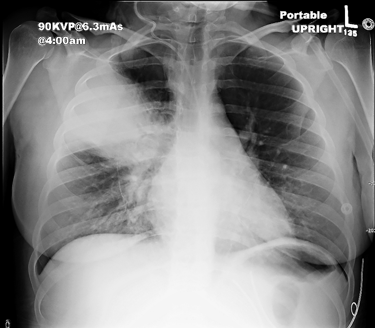
basic case of lines and tubes
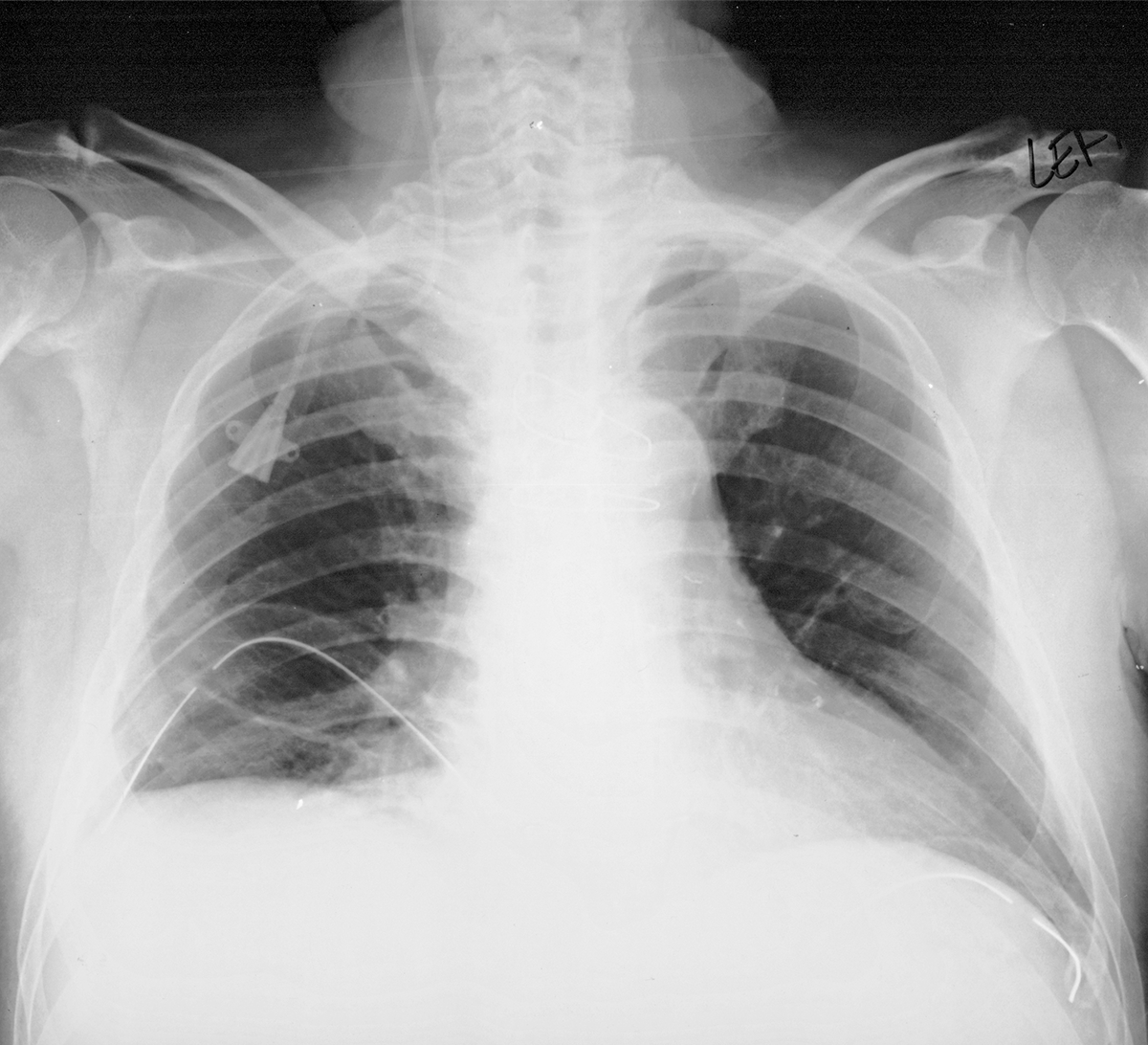
intermediate case of lines and tubes
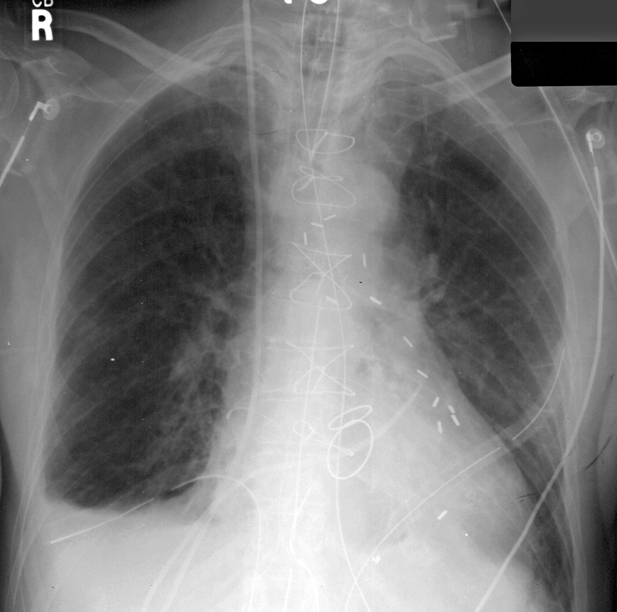
advanced case for lines and tubes
alternative diagnosis for lines and tubes