ShafferSeminars
INTERACTIVE CASE EXPLORER

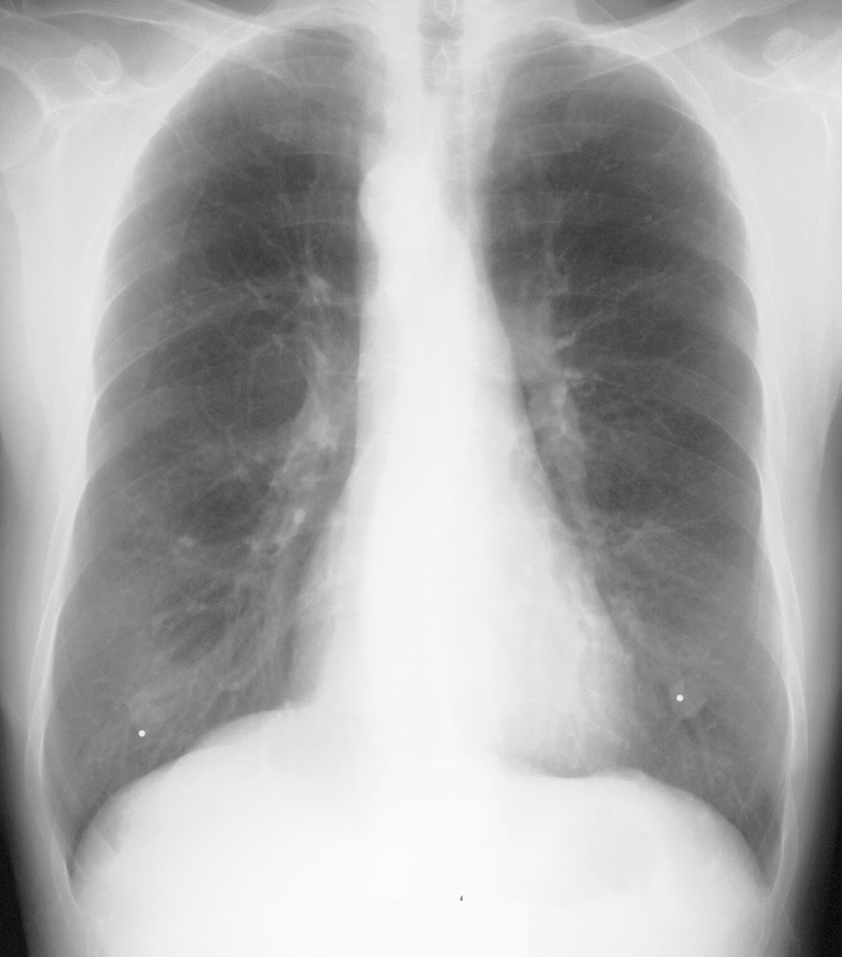
Topic 7

basic case for mediastinal widening


Further Explanation:


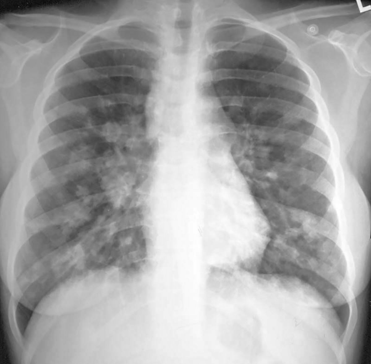
Topic 7

intermediate case for mediastinal widening


Further Explanation:


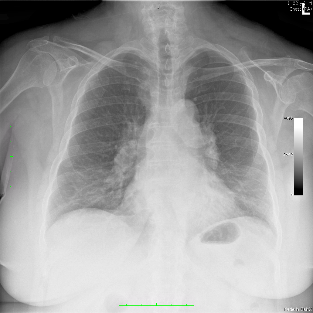
Topic 7

advanced case for mediastinal widening


Further Explanation:


Topic 7

alternative diagnosis for mediastinal widening


Further Explanation:


Previous Next
Prev Next