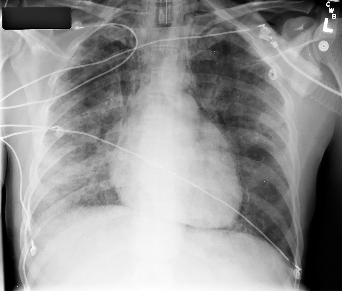
basic case for other abnormal air
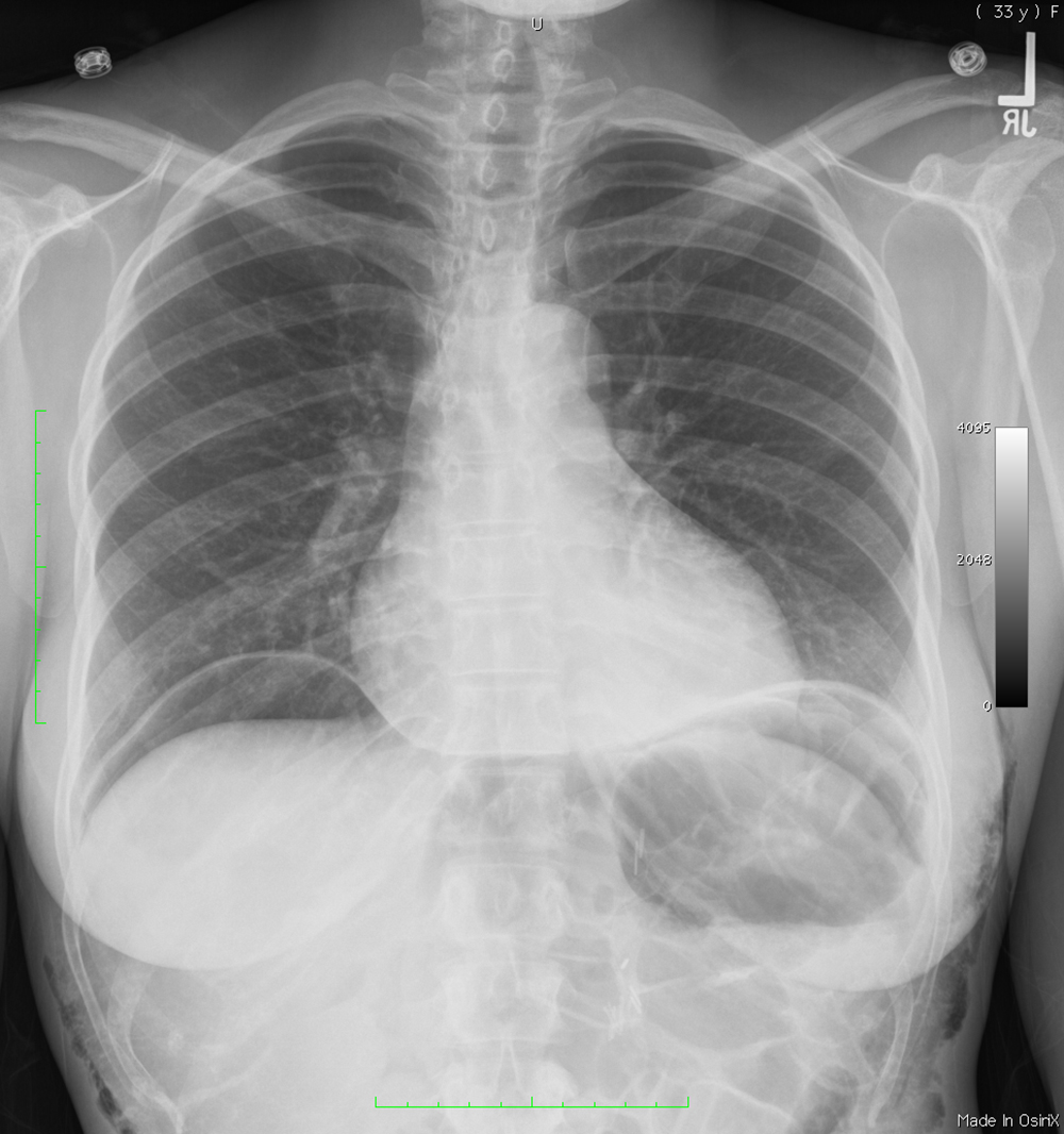
intermediate case for other abnormal air
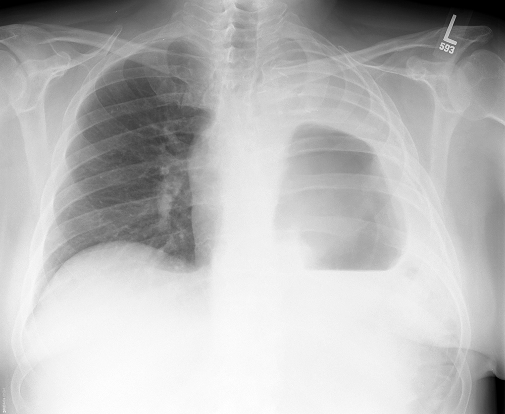
advanced case for other abnormal air
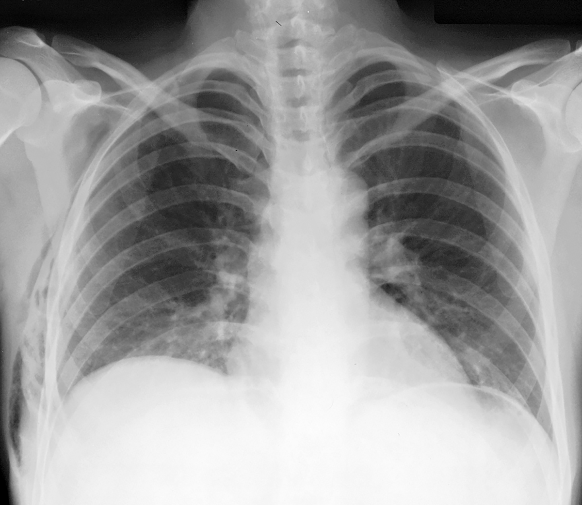
alternative diagnosis for other abnormal air