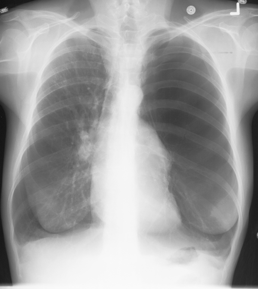
basic case for PTX
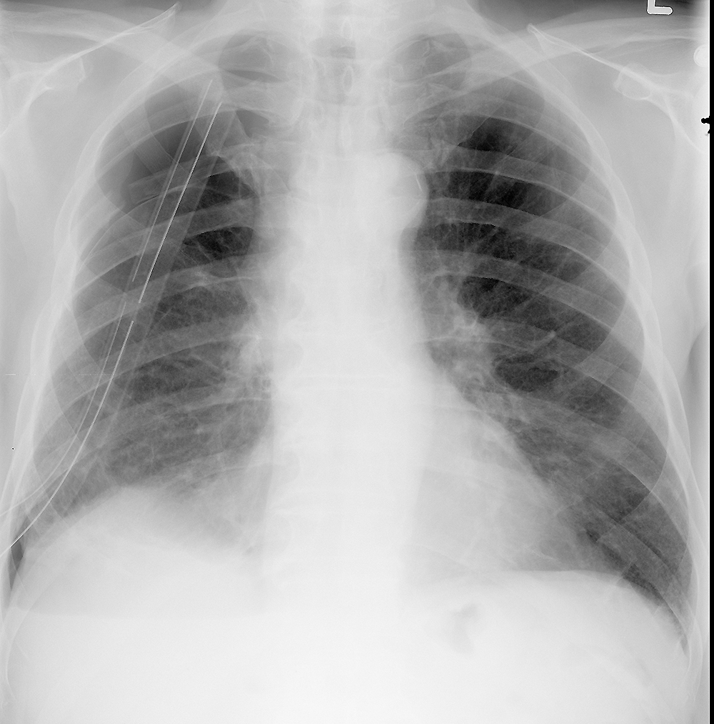
intermediate case for PTX
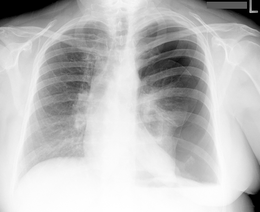
advanced case for PTX
alternative diagnosis to consider for PTX