ShafferSeminars
INTERACTIVE CASE EXPLORER

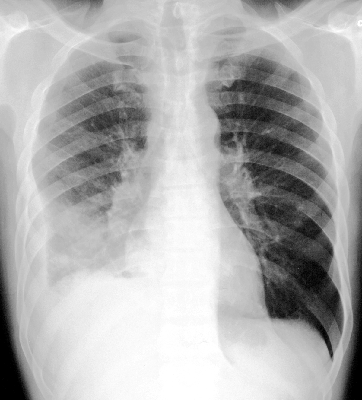
Topic 3

basic case for effusion


Further Explanation:


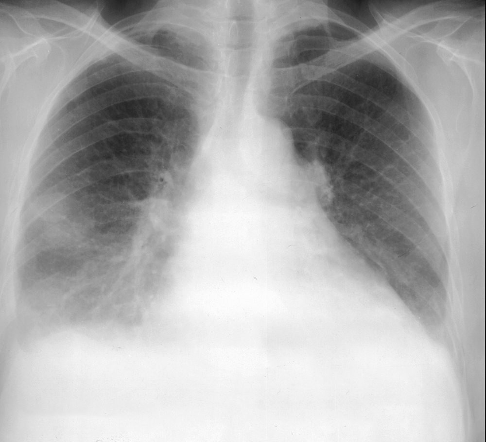
Topic 3

intermediate case for effusion


Further Explanation:


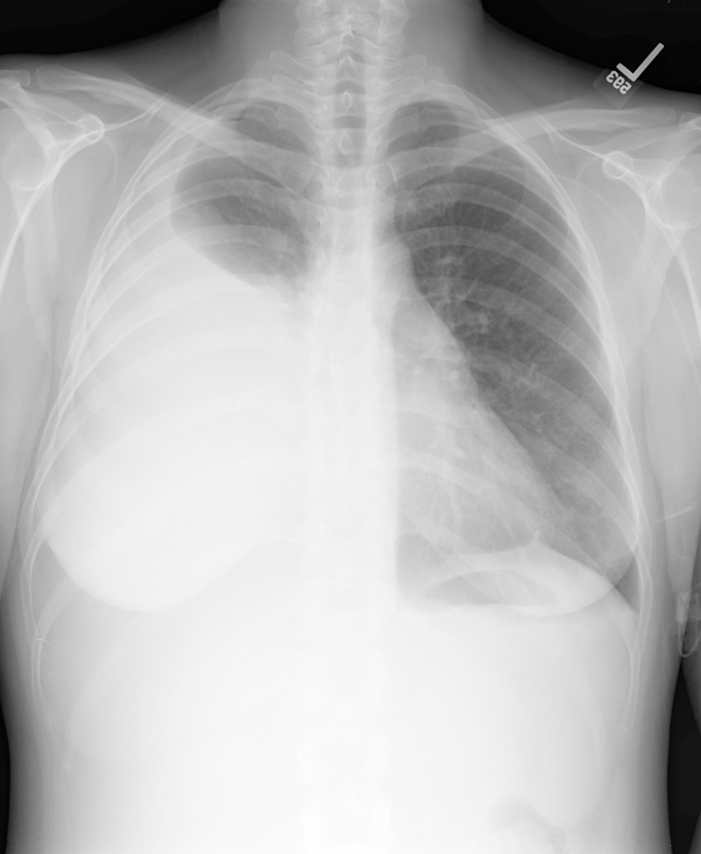
Topic 3

advanced case for effusion


Further Explanation:


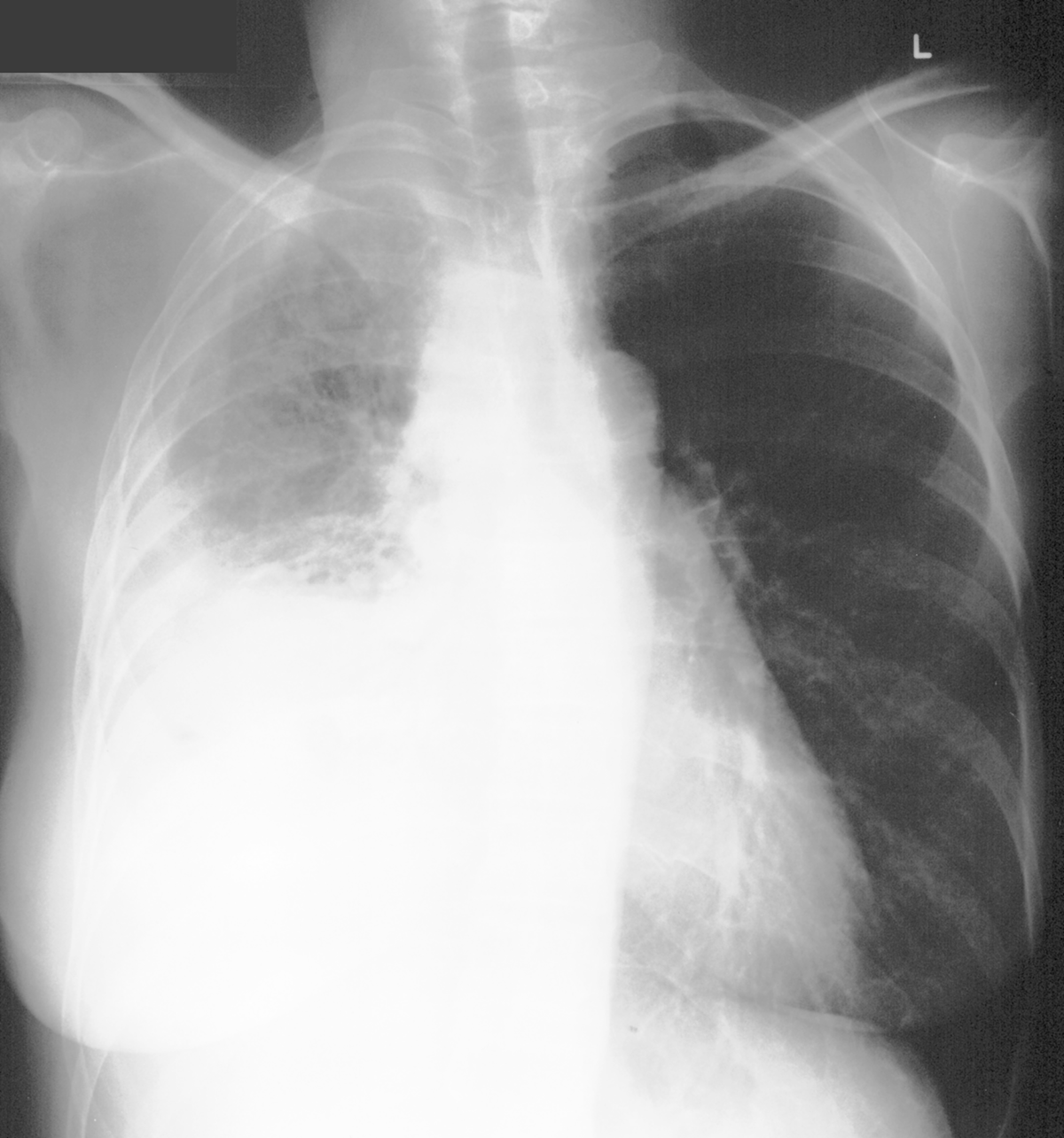
Topic 3

alternative diagnosis for effusion


Further Explanation:


Previous Next
Prev Next