ShafferSeminars
INTERACTIVE CASE EXPLORER

Topic 2

basic case CHF


Further Explanation:


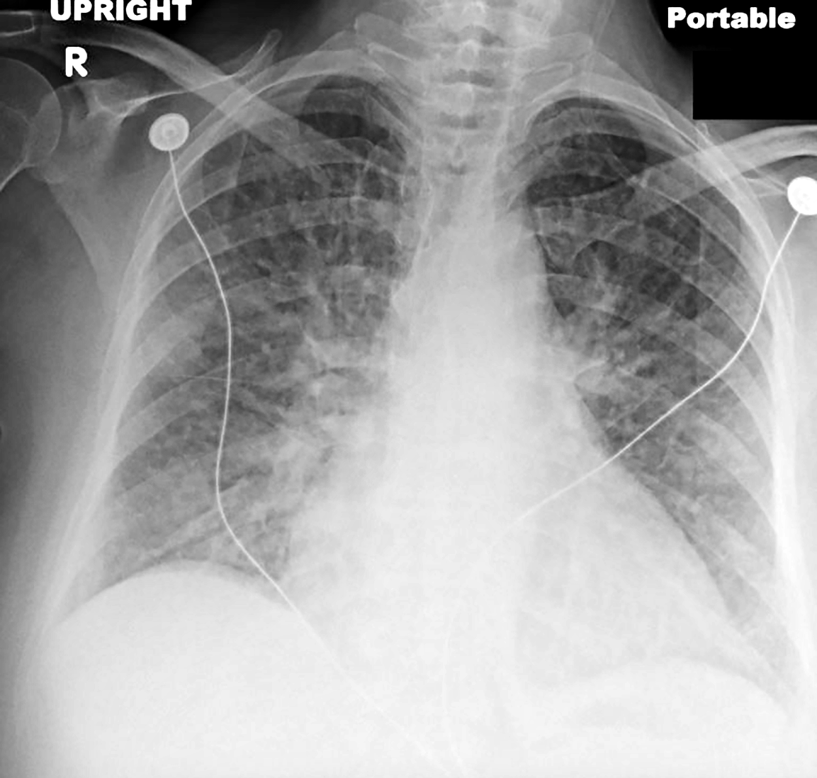
Topic 2

intermediate case CHF


Further Explanation:


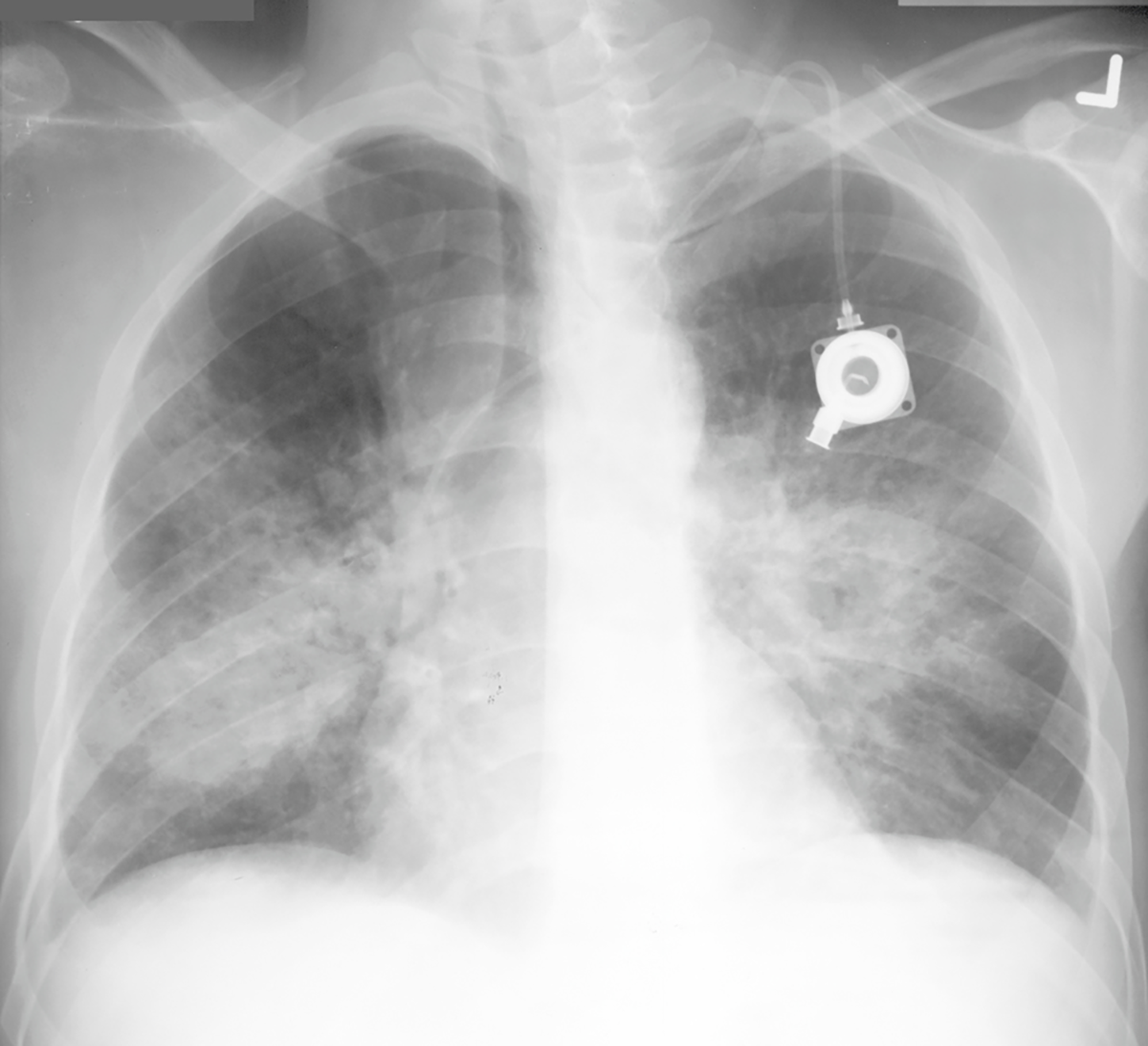
Topic 2

advanced case CHF


Further Explanation:


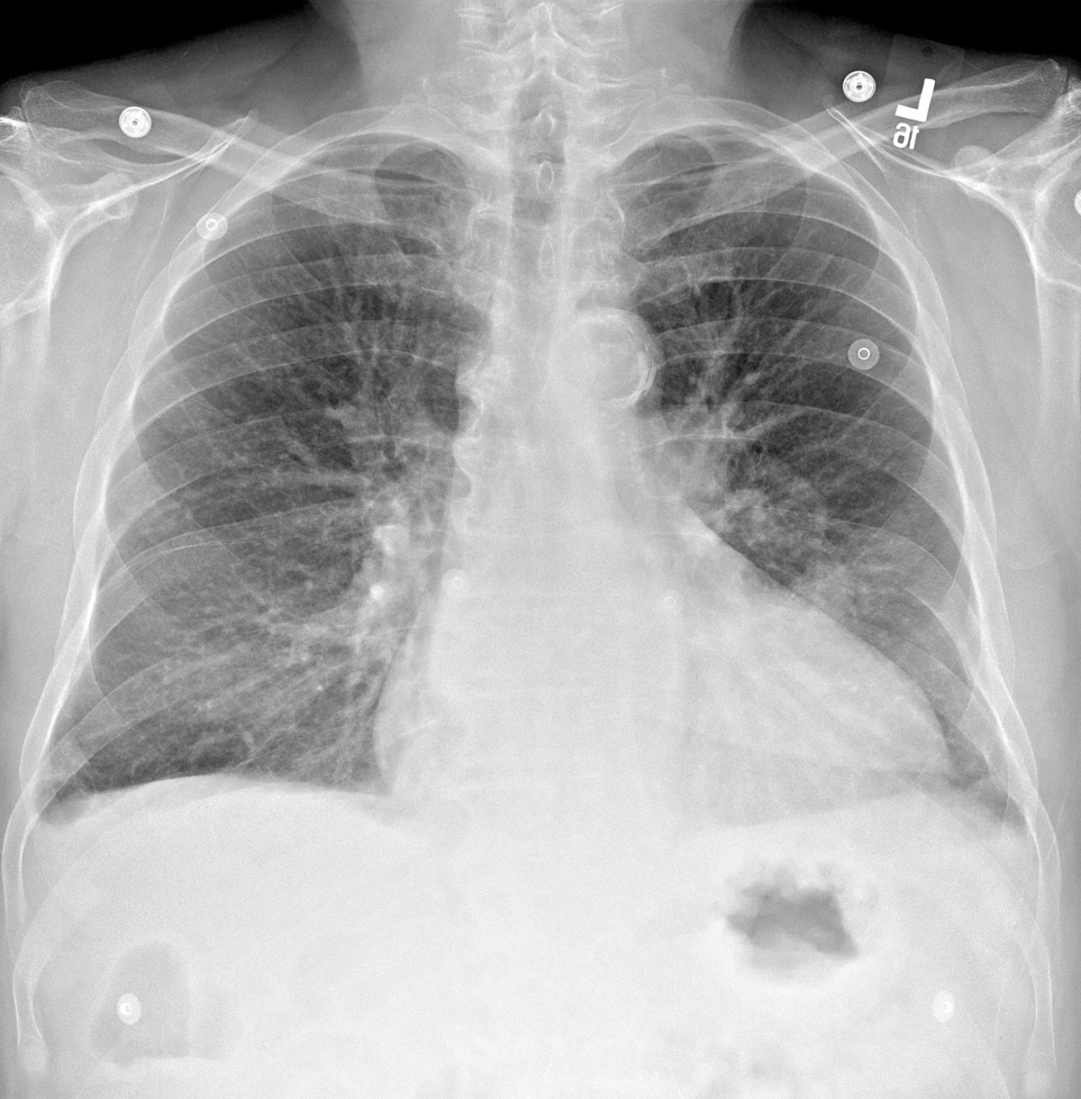
Topic 2

alternative diagnosis to consider in CHF


Further Explanation:


Previous Next
Prev Next