ShafferSeminars
INTERACTIVE CASE EXPLORER

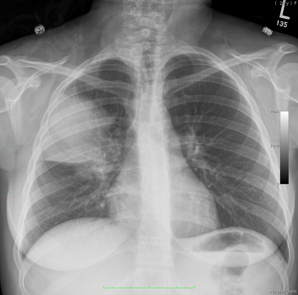
Topic 1

basic case-PNA


Further Explanation:


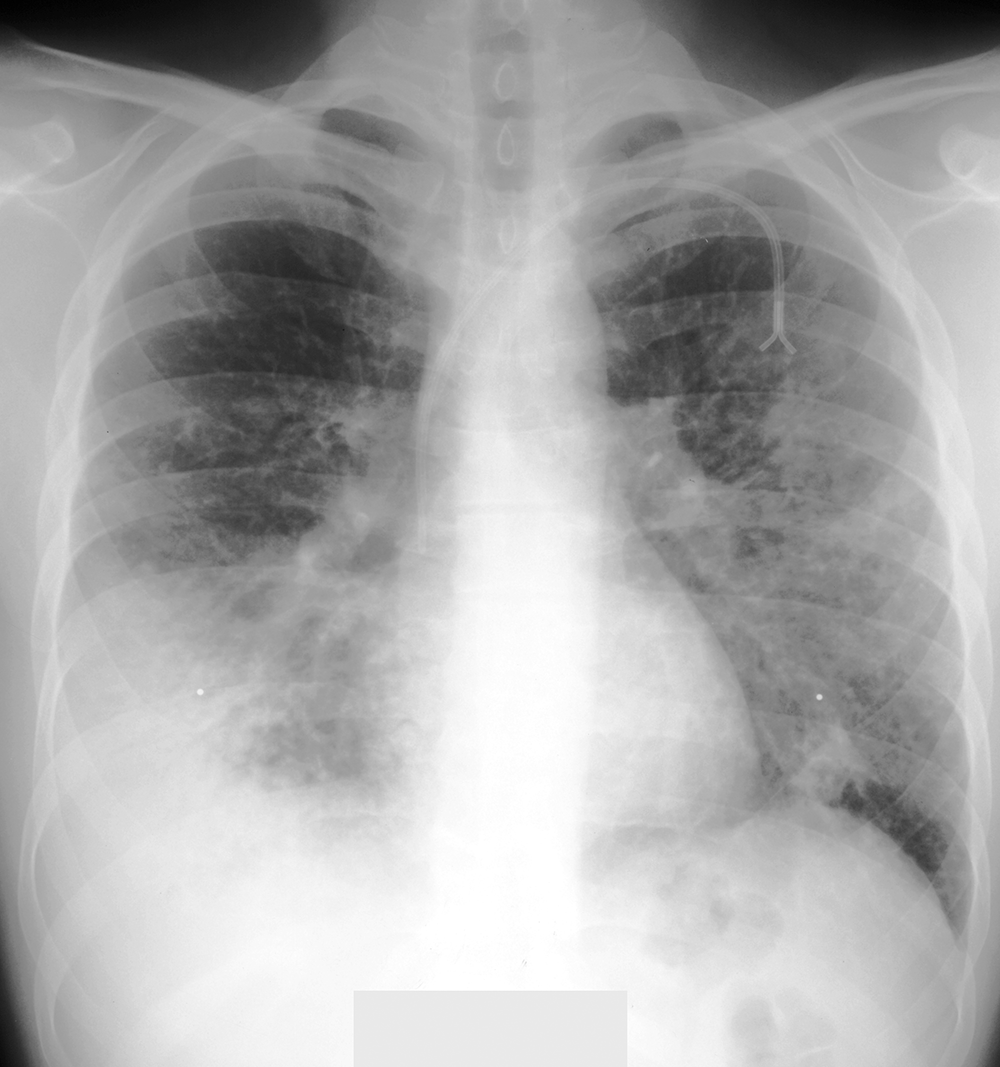
Topic 1

intermediate case PNA


Further Explanation:


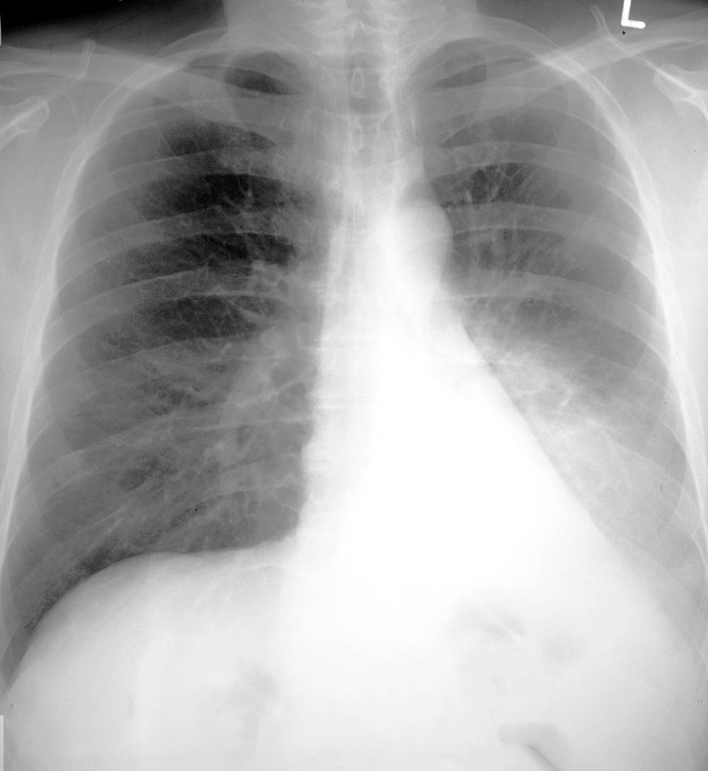
Topic 1

advanced case PNA


Further Explanation:


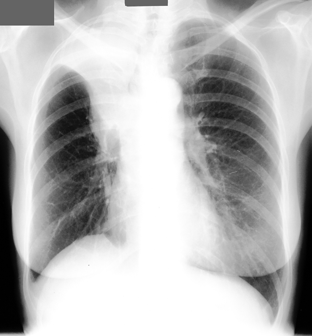
Topic 1

alternate diagnosis to consider for PNA


Further Explanation:


Previous Next
Prev Next