ShafferSeminars
INTERACTIVE CASE EXPLORER

Chest Checklist and Cases

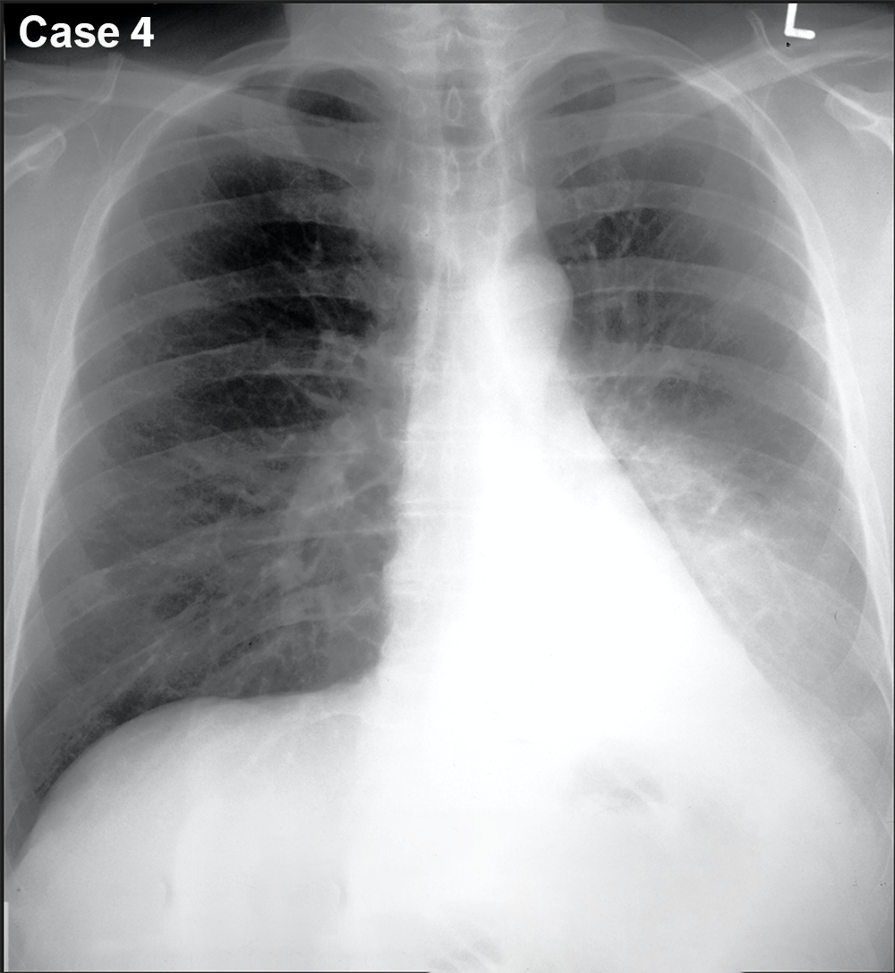
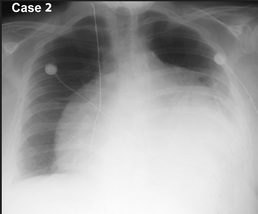
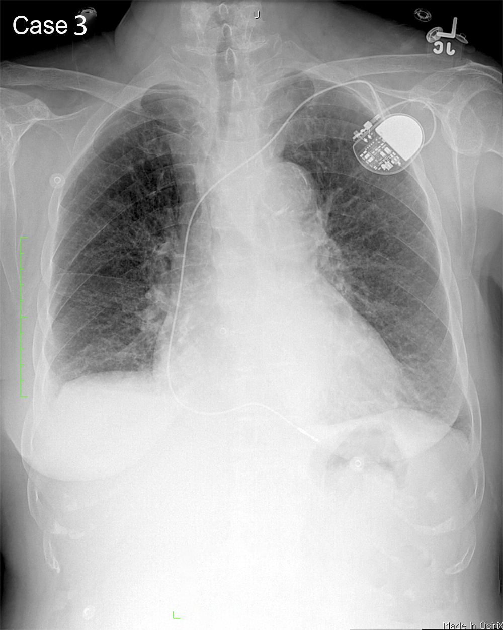
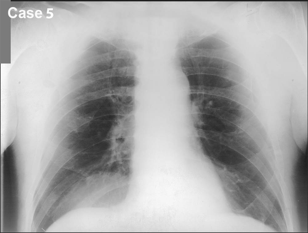
You are given a review of the ABCDE approach to frontal CXR interpretation and five cases to preview before class.


Further Explanation:

For each of these five cases, try to identify what is most abnormal, using the ABCDE framework to organize your search. Be descriptive! Try not to jump to conclusions regarding the final diagnosis. We will discuss each case in more detail in class. You can also consider what the next imaging study should be, and can make use of the ACR Appropriateness Criteria to help in this decision. You can also search the STR website for educational materials pertinent to each case.

Previous Next
Prev Next