ShafferSeminars

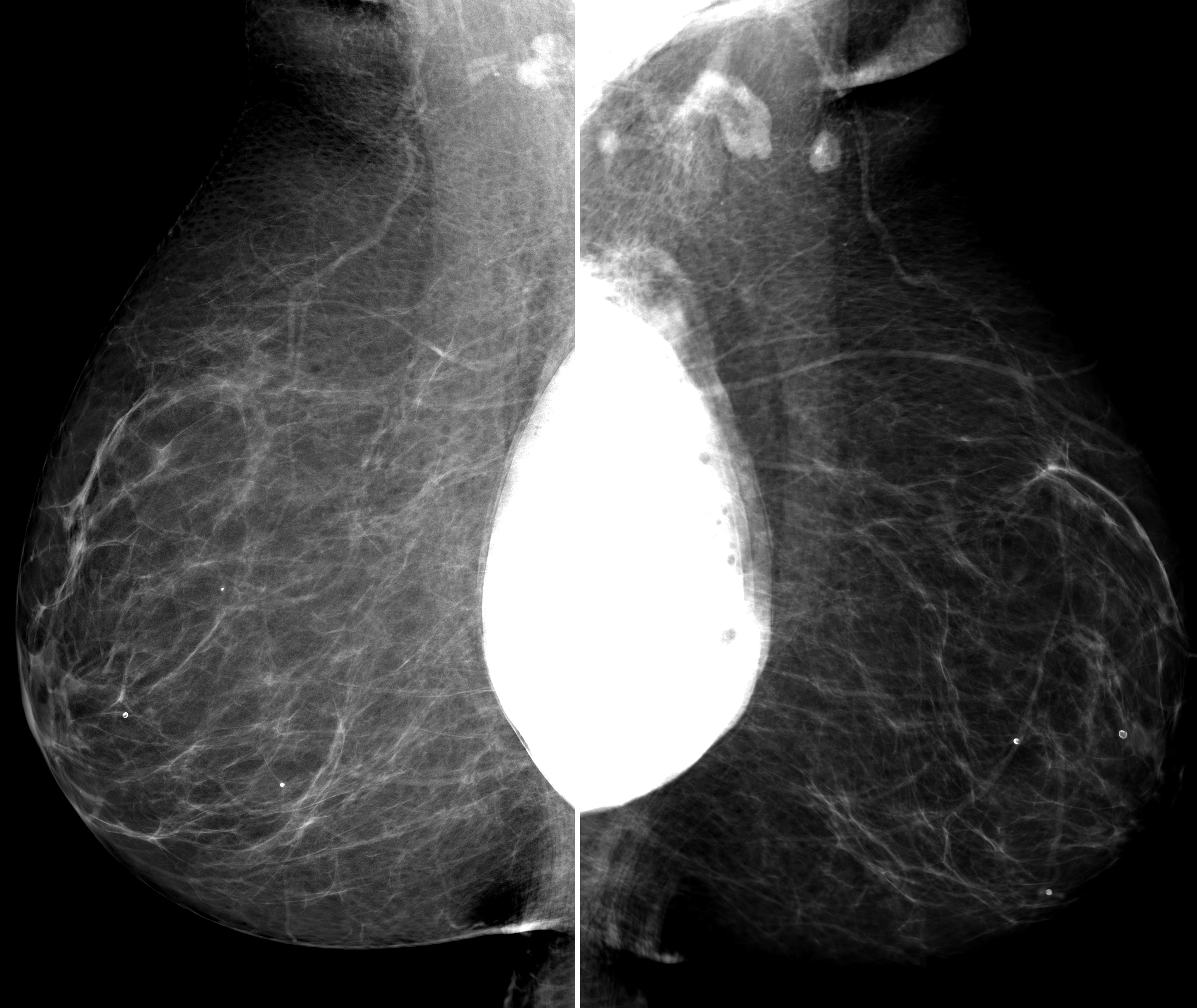
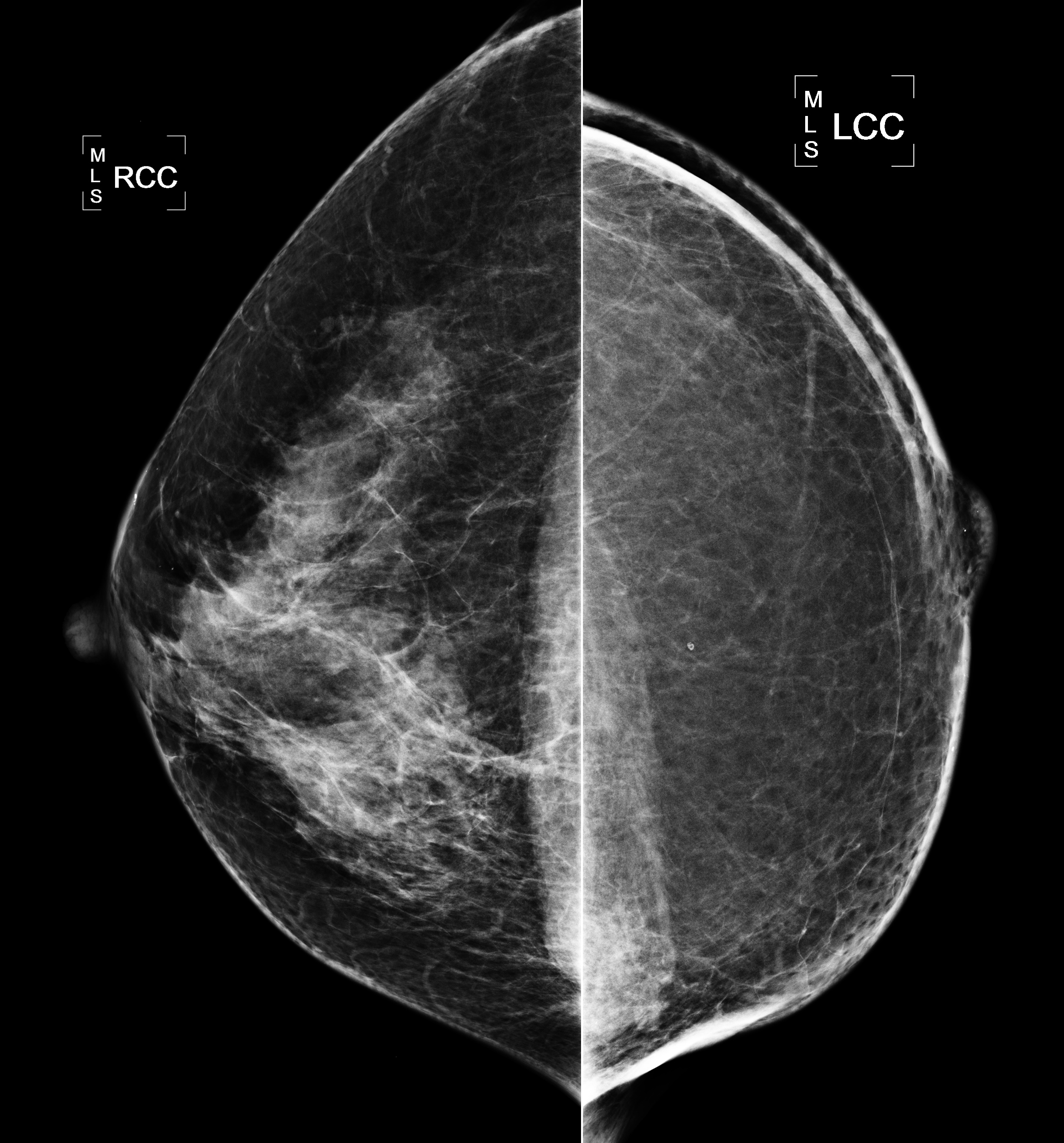
◂Breast Anatomy

Your browser does not support the video tag.
Thumbnail Size
Prev Next